2020-09-22
燕達研究院:成功開展CD19 CAR-T細胞治療白血病臨床研究
2019年,河北燕達醫院、河北燕達陸道培醫院和中關村三有利再生醫學研究中心共同簽署了《血液腫瘤相關CAR-T備案項目合作協議》三方協議。隨后,河北燕達醫院與中關村三有利再生醫學研究中心進行了深入密切的合作,兩單位人員與河北燕達陸道培醫院臨床科室醫生不斷對項目《CD19 CAR-T細胞治療難治復發急性B淋巴細胞白血病的臨床研究》進行溝通商議,對各個細節進行認真討論,最終在2020年年初通過醫院倫理委員會審核通過。 CAR-T細胞是嵌合抗原受體T細胞,它是通過..
2020-09-20
燕達醫院:生殖醫學中心連續多例“試管嬰兒”患者均一次性成功
近日,我院生殖醫學中心通過生殖醫學中心婦科、男科、實驗室及護理組四方通力合作,連續3例難度較大的“試管嬰兒”患者均一 次性成功,突顯了我院生殖醫學作為廊坊地區真正意義上第一個自己家門口的試管嬰兒中心專家組強大的技術優勢。 太驚喜|歷經八年備孕挫折 終覓得“心肝寶貝” 31歲的張女士,結婚8年,婚后一次胎停,夫妻二人為此曾輾轉北京多家生殖中心求醫,只為能夠早日擁有屬于自己的寶寶!期間經歷了3次失敗的人工授精助孕,使夫婦二人的備孕之路飽受挫折。經人..
2020-09-16
燕達研究院:成功開展CD19 CAR-T細胞治療白血病臨床研究
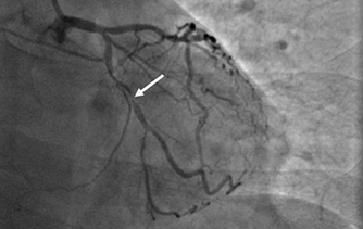
近日,河北醫科大學附屬燕達醫院心血管內三科成功完成一例非常特殊的手術——冠心病三支病變微創介入完全血運重建術。患者李先生冠心病病變極其嚴重,全部三支主干動脈均重度狹窄,各處求診均被告知無法微創介入手術,只能開胸搭橋。拒絕開胸的李先生慕燕達醫院心血管內三科北京安貞醫院專家團隊之名,就診于燕達醫院,由翟光耀主任為其行 “一站式”手術,一 次 性完成三支動脈的修復!手術非常成功,李先生術后恢復良好,滿意出院。 震驚 患者三支血管均90-99%狹窄 ..
2020-08-29
燕達養老:第五屆陸家嘴峰會、中國國際養老產業博覽會喜獲雙獎
2020年8月27日,燕達金色年華健康養護中心分別于《第五屆中國養老行業陸家嘴峰會》、《中國國際養老產業博覽會中國養老十大品牌評選》兩項活動中捷報頻傳,喜獲“中國五大養老服務品牌”及“中國醫養結合十大品牌”兩項殊榮。 燕達金色年華健康養護中心副總經理李東輝、營銷管理部經理馮江娜代表養護中心分別蒞臨現場受獎。 中國五大養老服務品牌 中國醫養..
2020-05-10
喜訊!弘陽廣場正式交付
位于燕順路北段的東方廣場商業綜合體項目,自開工以來就備受關注,憑借自身超大規模的體量,為燕郊北城注入商業活力。 弘陽廣場效果圖 2019年初夏之時,東方廣場開發商——燕達(地產)集團與弘陽置地(集團)有限公司簽訂戰略合作協議,弘陽商業正式落位燕達·東方廣場,東方廣場商業綜合體正式署名“燕郊弘陽廣場”。此次強強聯手,也標志著百貨行業的新星——弘陽置地(集團)有限公司正式進軍首都城市副中心輻射圈。 ..
